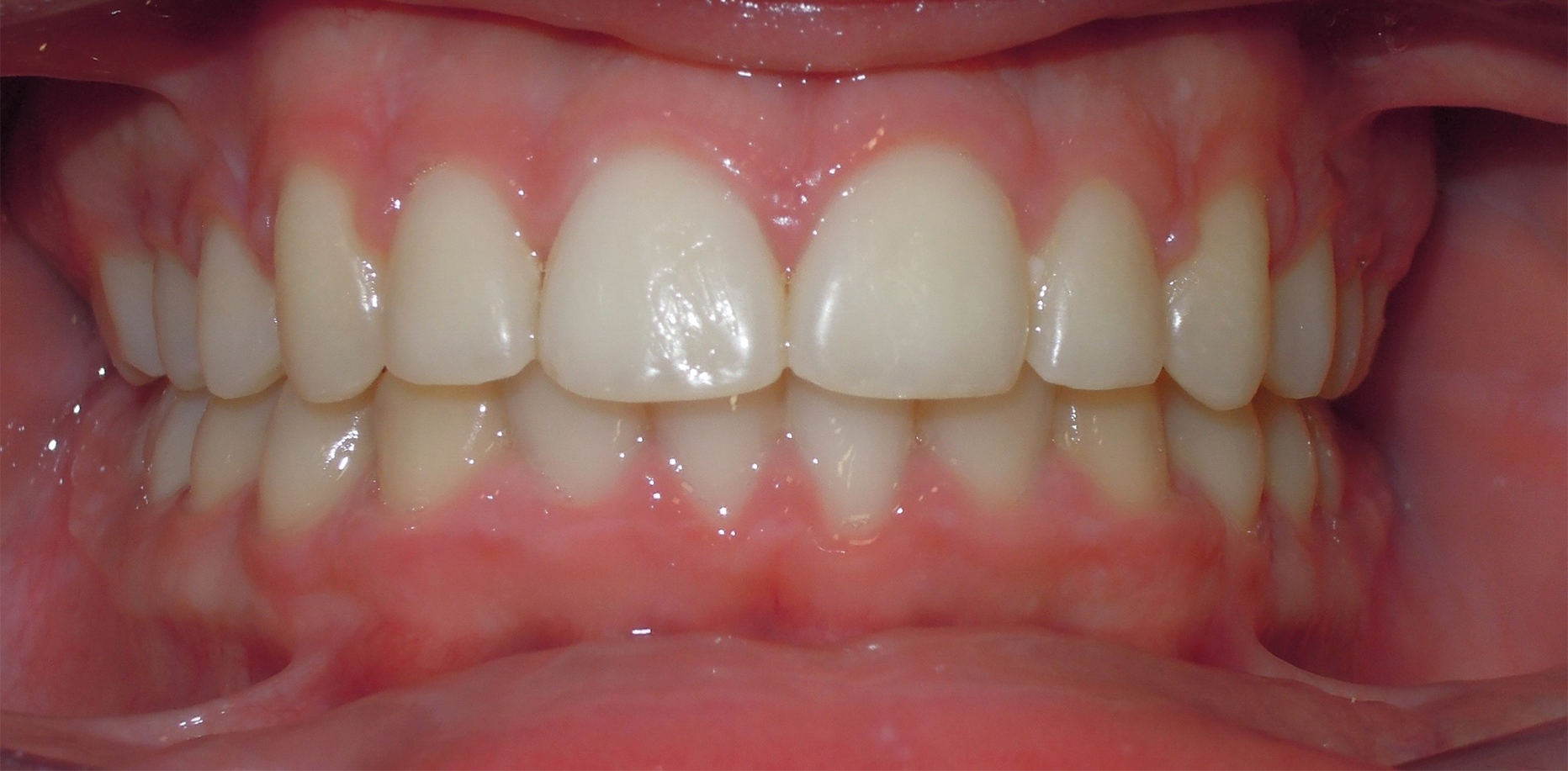
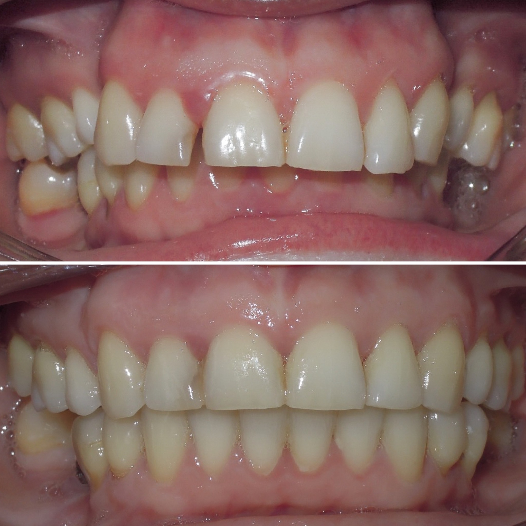
La ortodoncia es una especialidad de la odontología que corrige la oclusión y mal posición de los dientes. Consiguiendo una colocación adecuada de los dientes y de la mordida.
Los resultados de la ortodoncia son excelentes y estables a largo plazo si se realiza una correcta estabilización.
En la Clínica CIPEM ofrecemos todas las técnicas de ortodoncia que existen en la actualidad como son:
La ortodoncia invisible es un aparato de ortodoncia que consiste en una serie de aparatos transparentes y removibles que son personalizados para cada paciente y confeccionados en un material completamente estético y cómodo.
Cada alineador está confeccionado a medida a partir de un escaneado virtual de la boca que permite mover los dientes hacia la posición deseada en muchos casos de forma más rápida y controlada que con ortodoncia convencional. Cada aparato debe usarse 22 horas al día durante 7 días, para que los dientes se vayan moviendo poco a poco hasta la posición final diseñada por el ortodoncista. Nuestros expertos en ortodoncia invisible en Pozuelo de Alarcón, analizarán tu caso para ofrecerte este tratamiento si es adecuado para ti.
Los brackets de baja fricción son unos aditamentos parecidos a los brackets convencionales de toda la vida, pero en lugar de metálicos, imitan el mismo color que el esmalte, permitiendo que el diente se pueda deslizar muy fácilmente, disminuyendo al máximo el tiempo de tratamiento.
Gracias a estas características, nuestro tratamiento de ortodoncia con brackets en Pozuelo de Alarcón se convierte en una opción muy estética y eficaz para aquellos pacientes que buscan alinear su sonrisa sin renunciar a la discreción. Estos brackets ofrecen menor resistencia al movimiento dental, lo que contribuye a una mayor comodidad durante el proceso.
Además, nuestro tratamiento de ortodoncia con brackets en Pozuelo de Alarcón permite reducir el número de citas de ajuste, facilitando un seguimiento más ágil y eficiente por parte del ortodoncista, sin comprometer la calidad de los resultados.
¿A qué edad se puede poner una ortodoncia en niños?
La Sociedad Española de Ortodoncia (SEDO) recomienda que la primera revisión dental se realice en torno a los 6 años, aunque el crecimiento dental aparente ser normal. De esta manera, el dentista podrá identificar anomalías como un crecimiento maxilar irregular o el apiñamiento dental. Cuanto antes se detecten, mucho más sencillo será solucionarlas.
En el caso de que exista alguna alteración, nuestro equipo de ortodoncistas contemplará el inicio de un tratamiento de ortodoncia funcional, que marcará el camino a seguir en los años posteriores.
En CIPEM somos especialistas en tratamientos de ortodoncia infantil en Pozuelo de Alarcón, Madrid, por lo que siempre recomendamos realizar una primera revisión de la dentadura del pequeño entre los 5 y 6 años, incluso si el desarrollo de las piezas dentales y la higiene dental parece correcta a simple vista.
El procedimiento que llevamos a cabo en CIPEM comienza con una primera consulta en la que se realiza un examen clínico. Se toman radiografías y una impresión digital para evaluar la alineación dental, la relación entre los maxilares y el desarrollo óseo del pequeño. Con esta primera evaluación, el ortodoncista tendrá los datos necesarios para elaborar el plan del tratamiento de ortodoncia infantil en Pozuelo de Alarcón personalizado. El siguiente paso será la colocación de la ortodoncia, que, dependiendo de cada caso, se utilizarán aparatos removibles, brackets metálicos, férulas invisibles, etc.
A lo largo del tratamiento, el niño deberá acudir a clínica para revisar la evolución del tratamiento y ajustar los aparatos. Estos ajustes también permitirán que el especialista controle la alineación de los dientes y realice modificaciones según sea necesario para alcanzar los objetivos del tratamiento.
Una vez haya finalizado el tratamiento, se colocan retenedores para mantener los dientes en su nueva posición y prevenir que se desvíen. Los retenedores pueden ser fijos o removibles, y será el especialista el que proporcione las instrucciones necesarias sobre su uso.
Si tienes alguna duda sobre los tratamientos de ortodoncia infantil en Pozuelo de Alarcón que ofrece nuestra clínica, no dudes en ponerte en contacto con nuestro equipo, ellos estarán encantados de asesorarte y ayudarte a que tu pequeño tenga una correcta salud oral.


